ホワイトニング
WHITENING
ホワイトニング

ホワイトニング剤を塗布し、歯の表面の黄ばみの色素を分解し、歯を漂白します。
歯科医院で行うオフィスホワイトニングと、ご自宅で行えるホームホワイトニング、そしてオフィスとホーム両方を行うデュアルホワイトニングなどの方法があります。
ホームホワイトニング
ホームホワイトニングは、患者さま専用のマウスピースを作製します。
ご自宅でそのマウスピースを装着して、薬剤を浸透させていくホワイトニング方法です。
ホームホワイトニング

ホームホワイトニングは、オフィスホワイトニングより、濃度の低い薬剤を使用します。そのため時間をかけて歯を白くしていきます。
白くなるまでには、オフィスホワイトニングよりも時間がかかりますが、その分ゆっくりと薬剤が浸透するので、色戻りを防ぐ事ができます。また、色が少しづつ変化するので、自分の希望の色に調整できるのが特徴でもあります。
- 治療期間
- 1~2カ月
- 治療回数
- 全6回
- 費用(税込)
- ¥27,500
ホームホワイトニングは公的医療保険が適用されない自由診療です。
Merit メリット
- ご自宅でできるのでライフスタイルに合わせやすい。
- ホワイトニングの効果が持続しやすい。
- オフィスホワイトニングに比べ治療費が安い。
- 色戻りがしにくい。
Demerit デメリット
- オフィスホワイトニングに比べ、薬剤の濃度を抑えているため、効果が見られるまで時間がかかる。
- オフィスホワイトニングに比べ、一回の使用時間が長くなる。
- ホワイトニング期間中、歯に色移りしやすい飲食物に気を付けなくてはいけない。
オフィスホワイトニング
歯科医院で専門的に行うホワイトニングです。高濃度の薬剤と特殊な光を使用し、短時間で歯を白くします。
1回の施術でも効果を実感しやすく、忙しい方やすぐに結果を求める方におすすめです。効果の持続性を高めるために、複数回の施術を行う場合もあります。
ブライトニング

ブライトニングとは、「歯の明度」を上げる方法です。
明度を上げることで、明るく透明感のある歯に仕上がります。
- 治療期間
- 1〜2ヶ月おきに6回
- 治療回数
- 6回
- 費用(税込)
- ¥27,500(6回分)
Merit メリット
- 施術が比較的短時間で済むため、あまり痛みを感じにくい。
- 当日から食事に関する制限がほとんどないので、気軽に受けやすい。
Demerit デメリット
- 明るさを維持するには、ある程度の間隔で通院する必要がある。
- 保険の対象ではなく、自費診療となる。
治療の流れ
スクロールできます
- Flow01
歯面清掃

歯に付着したプラークを除去します。
- Flow02
口角鉤を口腔内に配置

口唇の内側に薬剤が付いてしまわないように保護する目的で使用します。
- Flow03
口唇に保湿剤を塗布

口唇に保湿剤を塗布します。
- Flow04
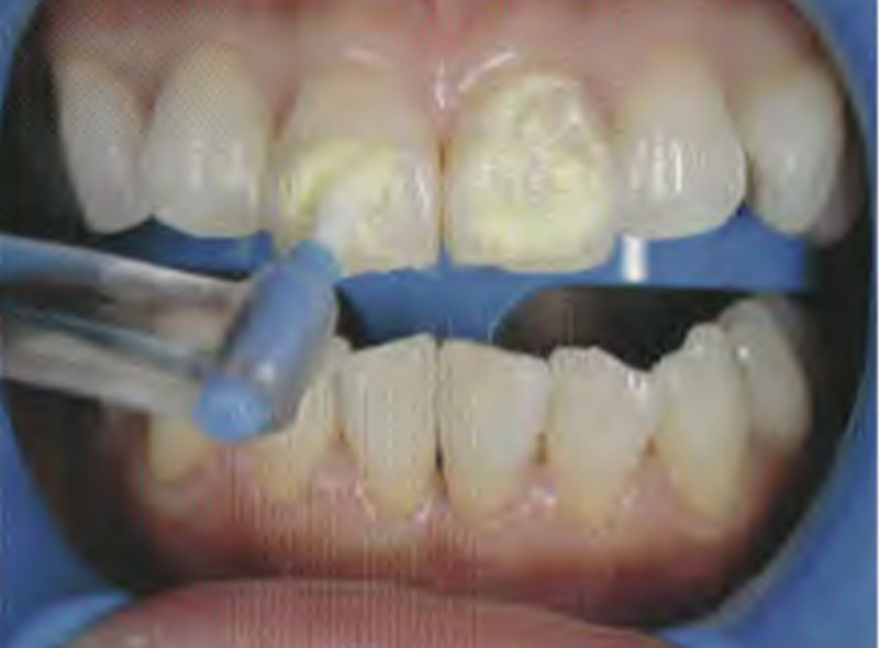
ブライトニング剤の塗布

歯肉に薬剤が付かないように切端から塗布していきます。
- Flow05
ライトの照射

ライトを8分間照射します。
- Flow06
ブライトニング剤の除去

ティッシュで薬剤を除去し、お口をゆすぎます。
オフィスホワイトニング

歯科医院で専門的に行うホワイトニングです。
高濃度の薬剤と特殊な光を使用し、短時間で歯を白くします。1回の施術でも効果を実感しやすく、忙しい方やすぐに結果を求める方におすすめです。
効果の持続性を高めるために、複数回の施術を行う場合もあります。
- 治療期間
- 1~2カ月
- 治療回数
- 全5回
- 費用(税込)
- 1歯 ¥6,600
Merit メリット
- 資格を持つ歯科医師・歯科衛生士が施術を担当するので、ムラが少ない仕上がりになる。
- 1回の施術でも、ホワイトニング効果を得やすい。
- 必要に応じて歯のクリーニングと同時に対応できる。
- 処置時に何か異常を覚えた時も適切な処置ができる。
Demerit デメリット
- ホームホワイトニングに比べ、患者さまによっては料金を割高に感じる場合がある。
- 歯の白さを保つには、繰り返しの来院が必要になる。
- 薬剤を使用する際、痛みを感じたり、沁みたりする場合がある。
治療の流れ
スクロールできます
- Flow01
歯面清掃

歯に付着したプラークを除去します。
- Flow02
口角鉤を口腔内に配置

口唇の内側に薬剤が付いてしまわないように保護する目的で使用します。
- Flow03
口唇に保湿剤を塗布

口唇に保湿剤を塗布します。
- Flow04
歯肉の保護

歯肉に薬剤が付かないように保護します。
- Flow05
ホワイトニング剤を塗布

歯肉に付かないように、切端から塗布していきます。
- Flow06
ライトの照射

15分間ライトを照射します。
- Flow07
ホワイトニング剤を除去

コットンボールで薬剤を除去し、洗い流します。
- Flow08
コーティング

コーティング剤で、歯表面をコーティングします。
デュアルホワイトニング

ホームホワイトニングとオフィスホワイトニングを組み合わせた方法です。初めに医院で集中的にホワイトニングを行い、その後自宅でのケアを継続します。短期間で高い効果を得られ、白さも長持ちします。より効果的なホワイトニングを求める方に適しています。
当院のデュアルホワイトニングが気になる方は、お気軽にお問い合わせください。
当院のホワイトニングは
患者さまに適切な
治療方法をご提案します

患者さま自身のご希望やご要望、お口の状況などを考慮し、適切な治療設計をご提案いたします。
オフィスホワイトニング、ホームホワイトニング、デュアルホワイトニング、それぞれにメリット、デメリットがありますので、自身に適したプランをお選び下さい。